sexta-feira, 3 de setembro de 2010
Cantinho do dia...
quinta-feira, 2 de setembro de 2010
Olha o meu bebê aí...
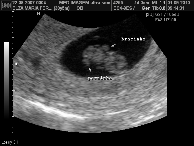
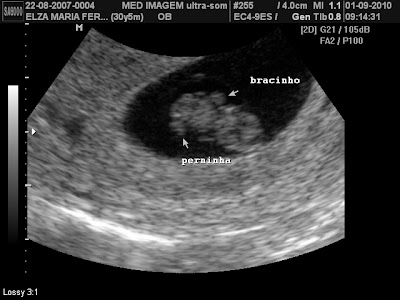
Ontem foi nosso 1° ultrasson oficial, pois da primeira vez não deu pra ver! Que alívio foi saber que está tudo bem com esta gestação e com o bebê. Deu até para ver o bracinho e a perninha em pleno desenvolvimento! Meu marido não parava de sorrir e levou as fotos para o trabalho para mostrar pra todo mundo.
O médico até mesmo conseguiu pegar uma imagem que ele disse ser rara, conseguimos ver a divisão do 2° líquido onde o bebê está, é uma espécie de bolha, e por ser uma linha tênue, muitas vezes o ultrassom não consegue captar essa imagem. Mas meu bebê colaborou, rsrsrs:
Vocês conseguem ver? Ele até circulou, pois é quase imperceptível.
Meninas, a barriguinha já está aparecendo e eu acabei de completar 2 meses de gravidez! Isso acontece pois os músculos já estão dilatados da 1° gestação. Terei que caprichar no "guarda-roupas-gestante" mais cedo do que pensava. Ótima oportunidade para fazer umas comprinhas!
Marcadores:
Diário de Gravidez
Para se inspirar...
quarta-feira, 1 de setembro de 2010
Setembro e a Primavera...
Eu adoro o mês de Setembro! Tem coisa mais gostosa que a chegada da Primavera e poder ter pela casa uma variedade incrível de flores? Pode até ser uma florzinha roubada do quintal, mas a nossa casa merece esse capricho!
79 Ideas
Cantinho do dia...
Assinar:
Postagens (Atom)








